Working groups
Members of Martin Aepfelbacher's research group mostly work in the field of Cellular Microbiology, which has developed at the interface of Cell Biology and Microbiology. We currently investigate structure and function of the Yersinia effector protein YopM and its binding partners. In other projects...
We study molecular mechanisms of viral persistence and transformation. Our group focuses on the human tumor virus Merkel Cell Polyomavirus and its role in tumorigenesis. In addition, we develop and apply high throughput sequencing (next generation sequencing) for the detection of known and novel viral pathogens in acute and chronic diseases.
From 1 January 2025, information on the Fischer group will be available at the Institute of Molecular Virology and Tumor Virology.
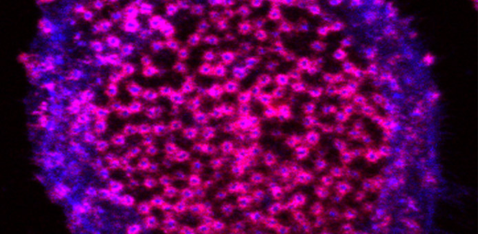
Image: Podosomes in a human macrophage (F-actin in blue, vinculin in magenta)
Our group is interested in the cytoskeleton of primary human cells, especially of monocytic and endothelial cells.
We study the dynamic regulation ...
We are interested in the pathogenesis of staphylococcal infections, mainly focussing on implant-associated infections. Infections occurring after ...
The interaction of microbial pathogens with host cells critically determines the genesis of infectious diseases.When faced with a bacterial ...
This research group characterizes the intracellular activities of several Yops of Yersinia enterocolitica and their impact on innate immunity. Furthermore, novel interaction partners ...
Our research focuses on human herpesviruses and their analysis in complex in vitro systems. We aim to understand how different cell types within tissues respond to and cooperate during viral infections. ...