Graduate Medical Education Concept

The graduate medical education concept of the II. Medical Clinic and Policlinic is composed of three parts.

The first part involves a broad general medical training on the wards of the department and at least one external rotation in one of the other medical clinics at the MH. Also, a rotation in the Ultrasound Department of the I. Medical Clinic is part of the basic training program.

The second step of the basic training program is a rotation in the Emergency Room and in the Intensive Care Unit. Afterwards, there is a further rotation- now as a responsible ward physician - on one of the oncologicy/haematology wards. This rotation is supplemented by duties in the special outpatient units and orientation and training in functional diagnostics.

For more information please refer to the following links:

Graduate medical education concept (Text) - GERMAN

Graduate medical education (Diagram) - GERMAN

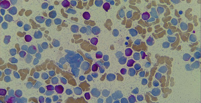
Microscopy Course

Microscopy course for senior medical residents

Objective:

Blood and bone marrow smears as well as pleural-, ascitic- and cerebrospinal fluid cytologies are examined and evaluated together using our conference microscope. The course is taught by an experienced hematologist and prepares senior medical residents for their specialist examination in hematology and oncology.

Registration:
Registration is required.

Costs:
Participation is free of charge.

Location:
Conference room, II. Medical Clinic, 7. Floor, Building O24

Day and Time:
every Tuesday from 7:30 a.m. to 8:30 a.m.

Contact person:

Instructors:
PD Dr. med. Gunhild v. Amsberg
Dr. med. Timon Hansen
Dr. med. Philippe Schafhausen